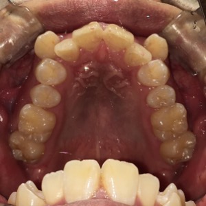
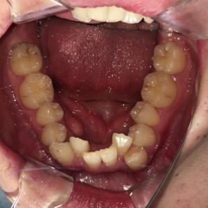
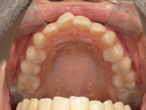
症例
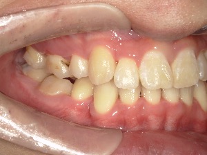
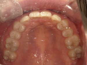
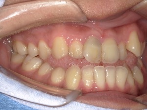
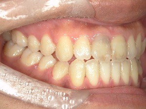
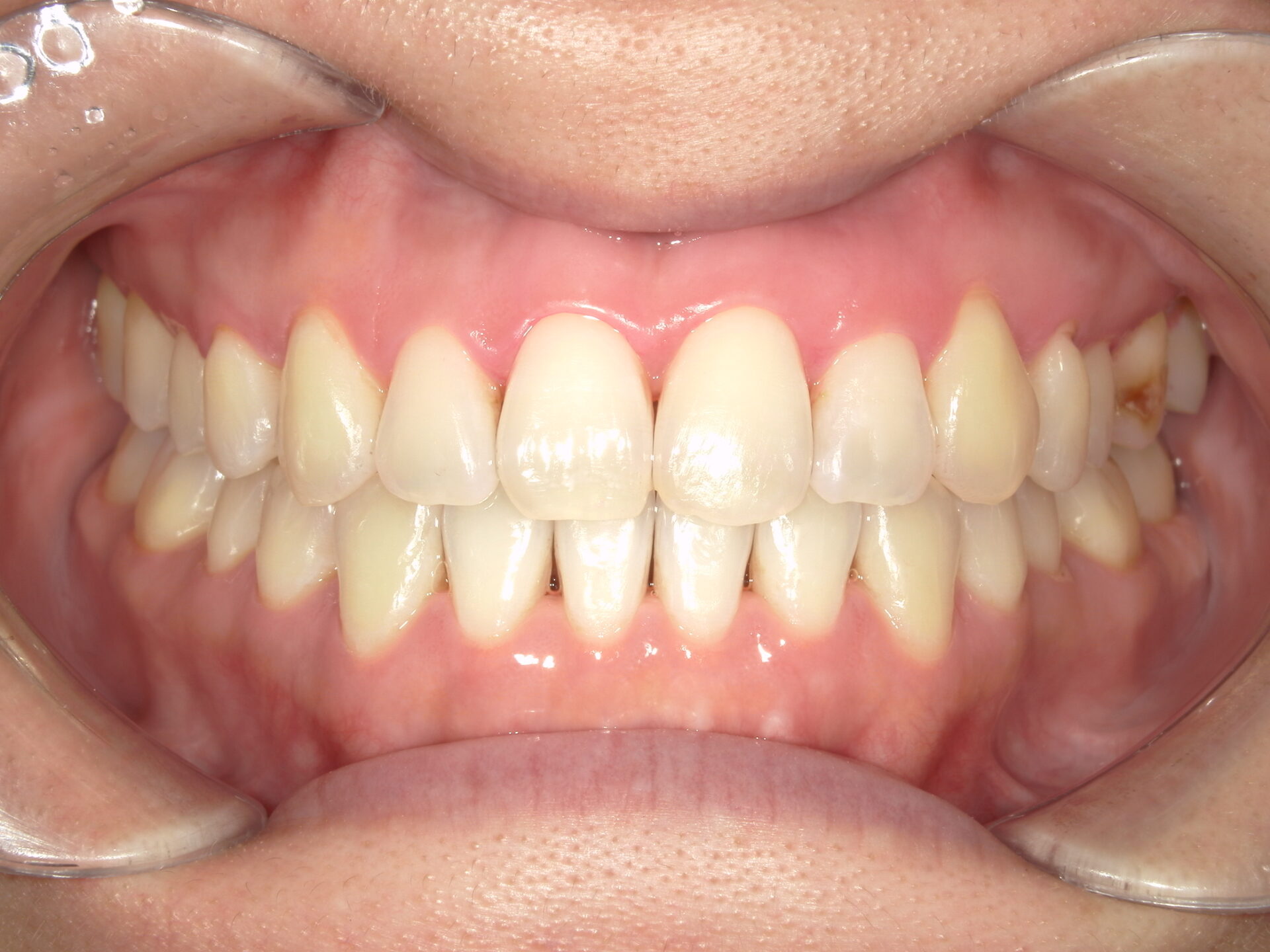
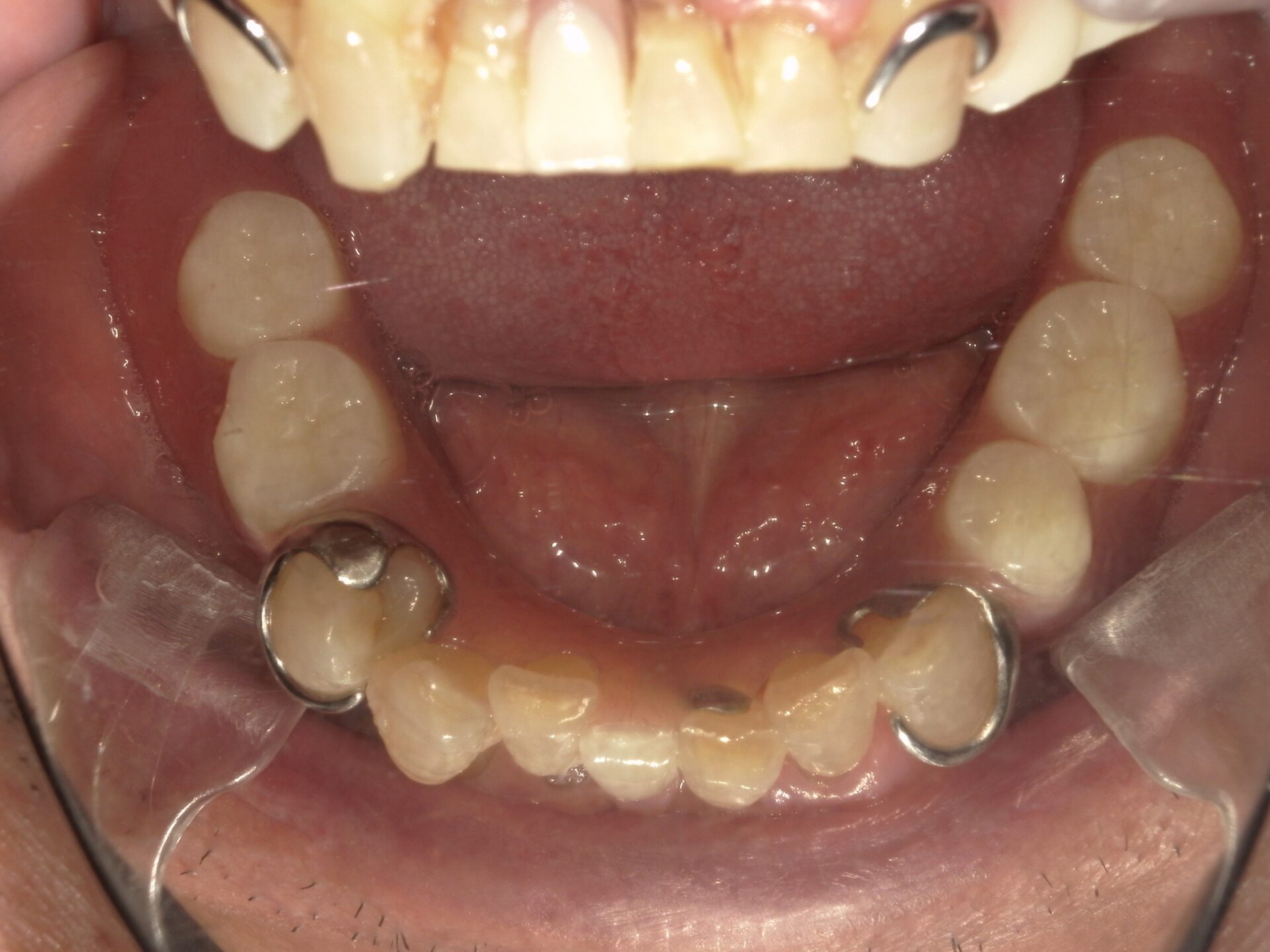
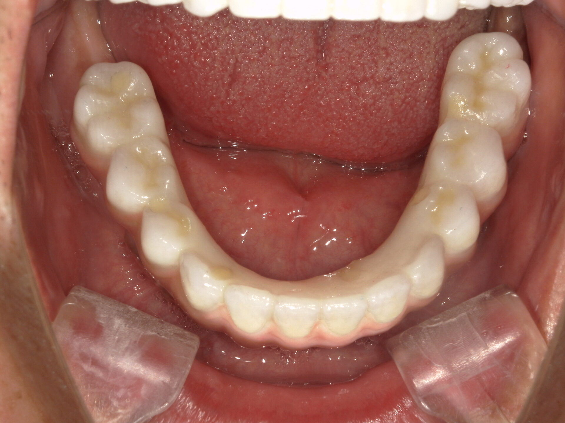
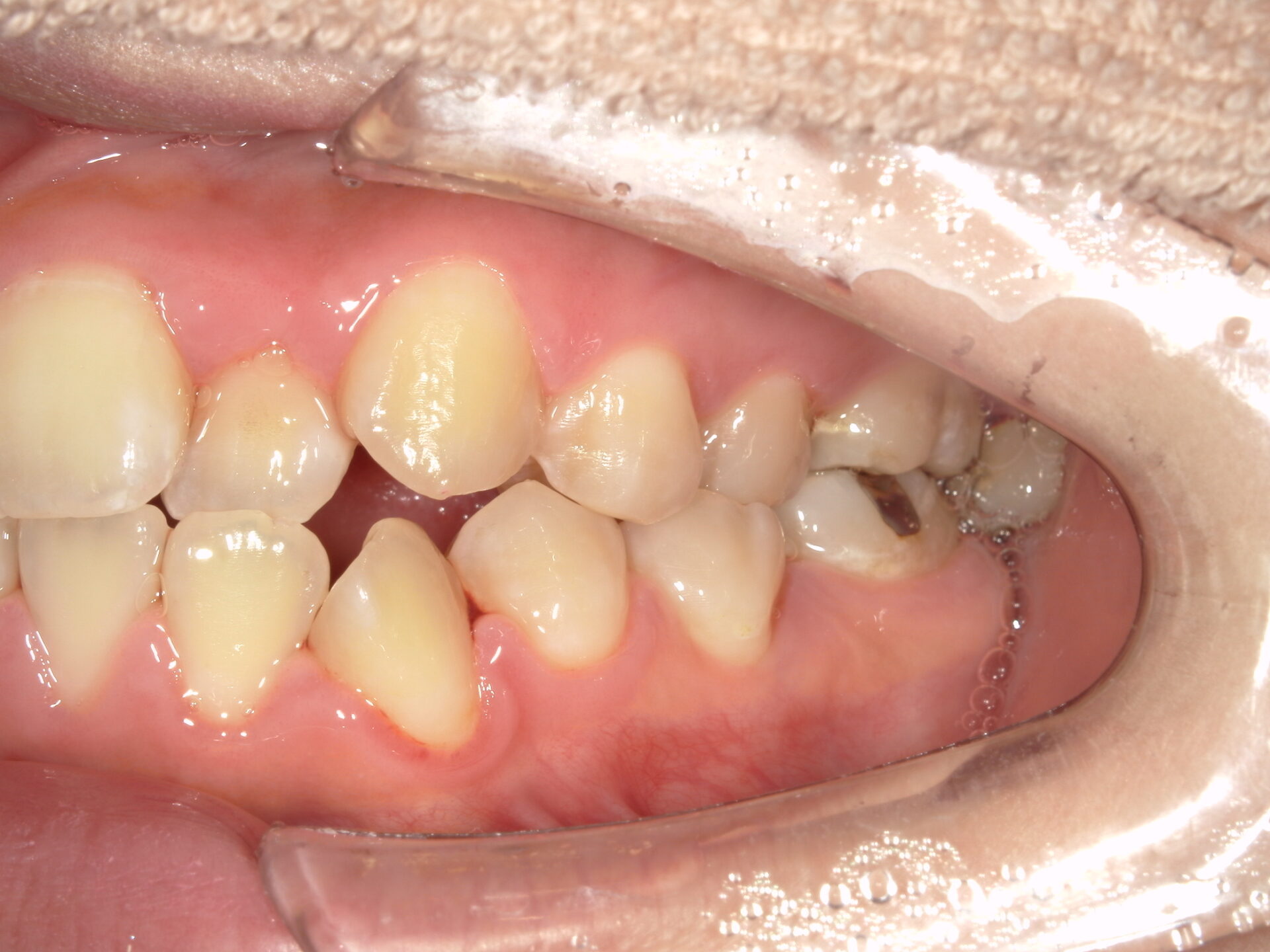
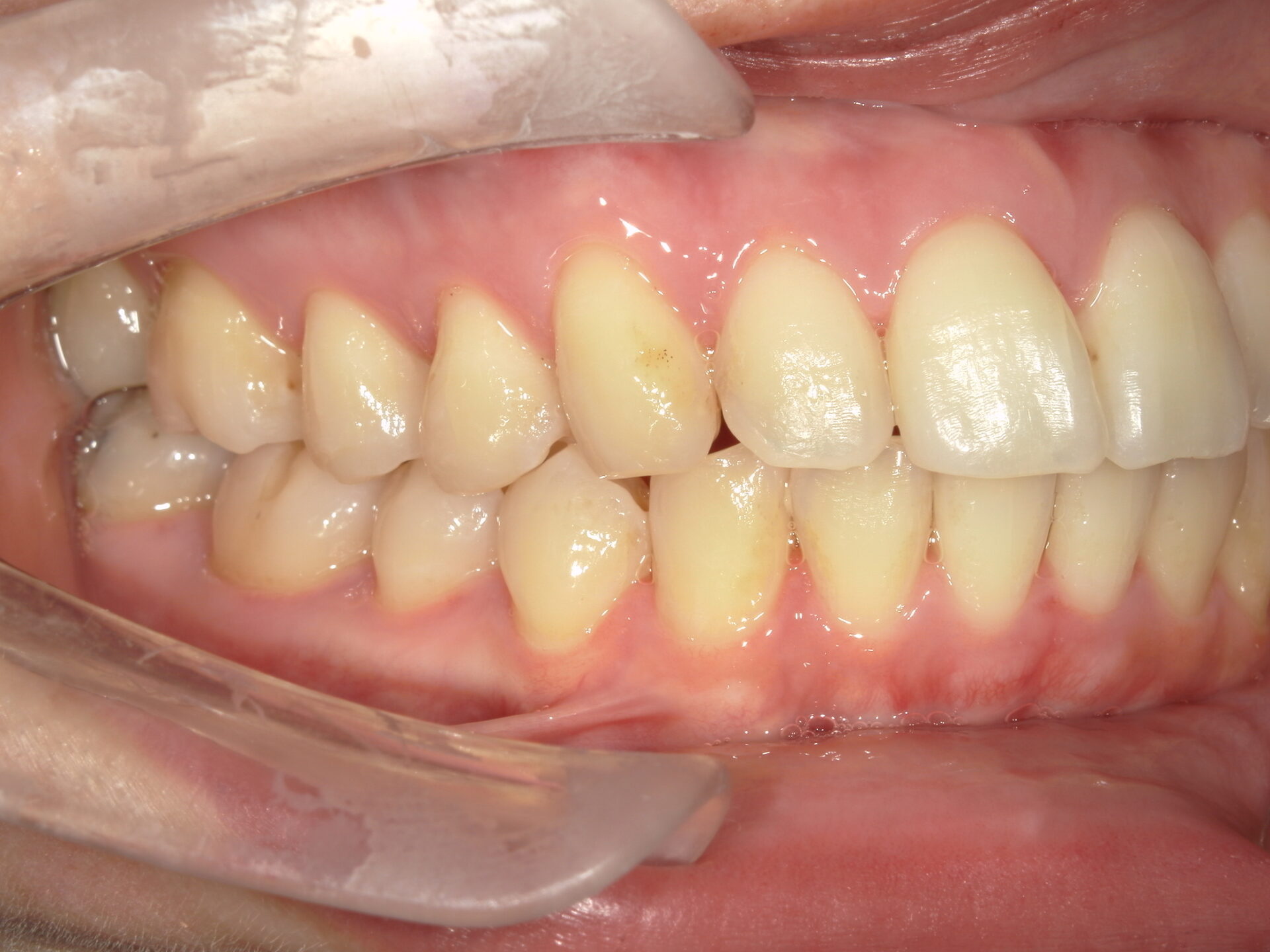
before





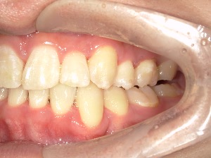
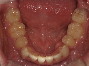
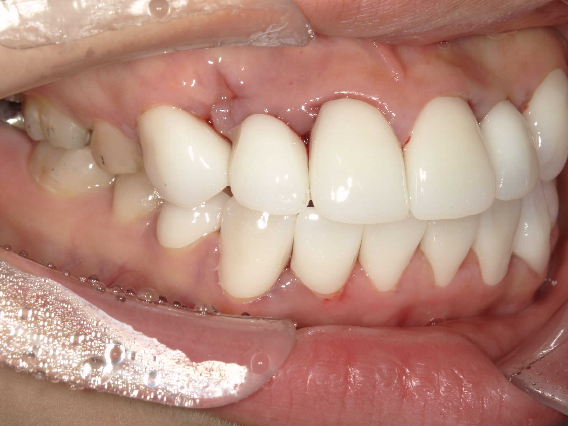
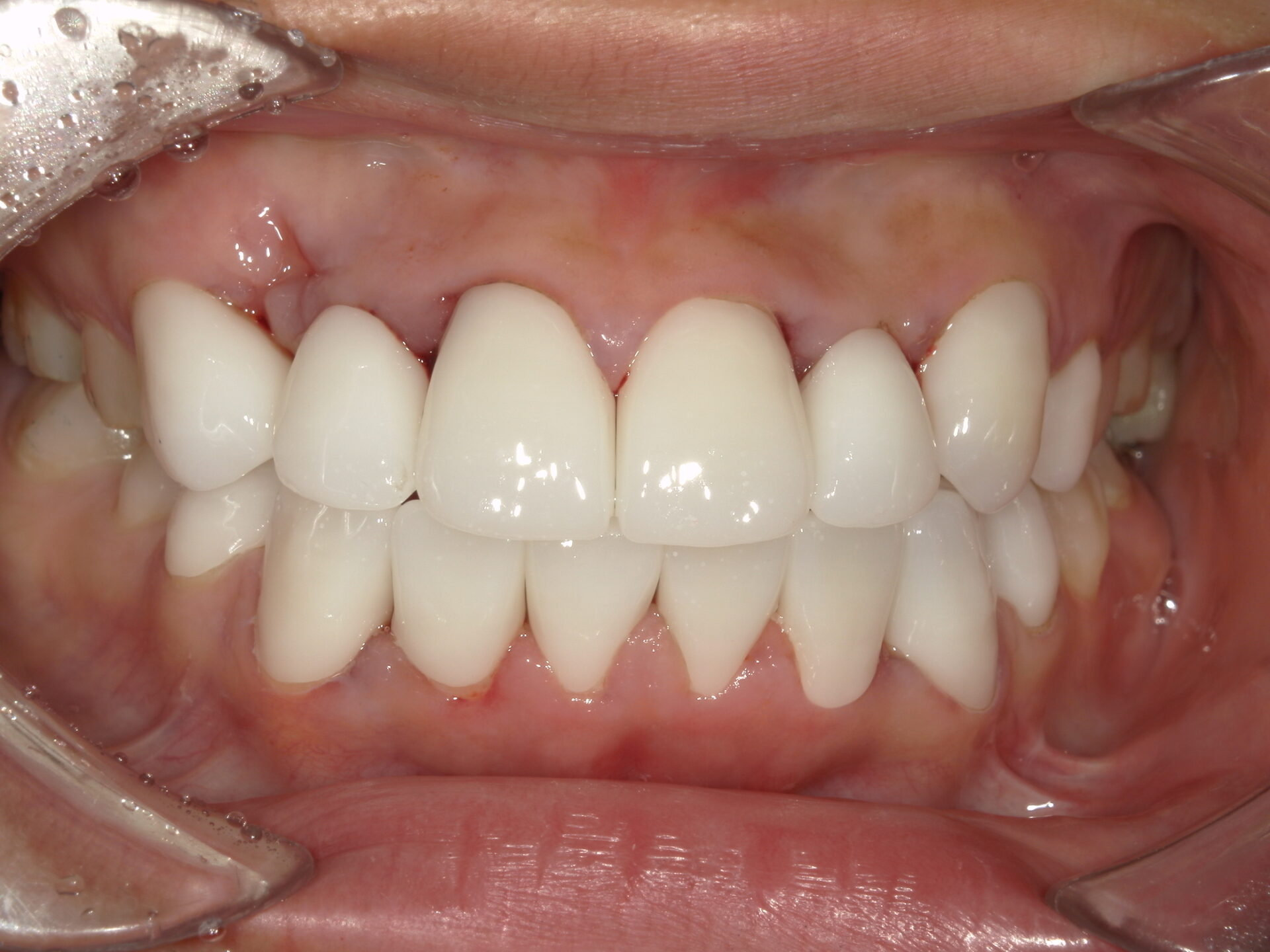
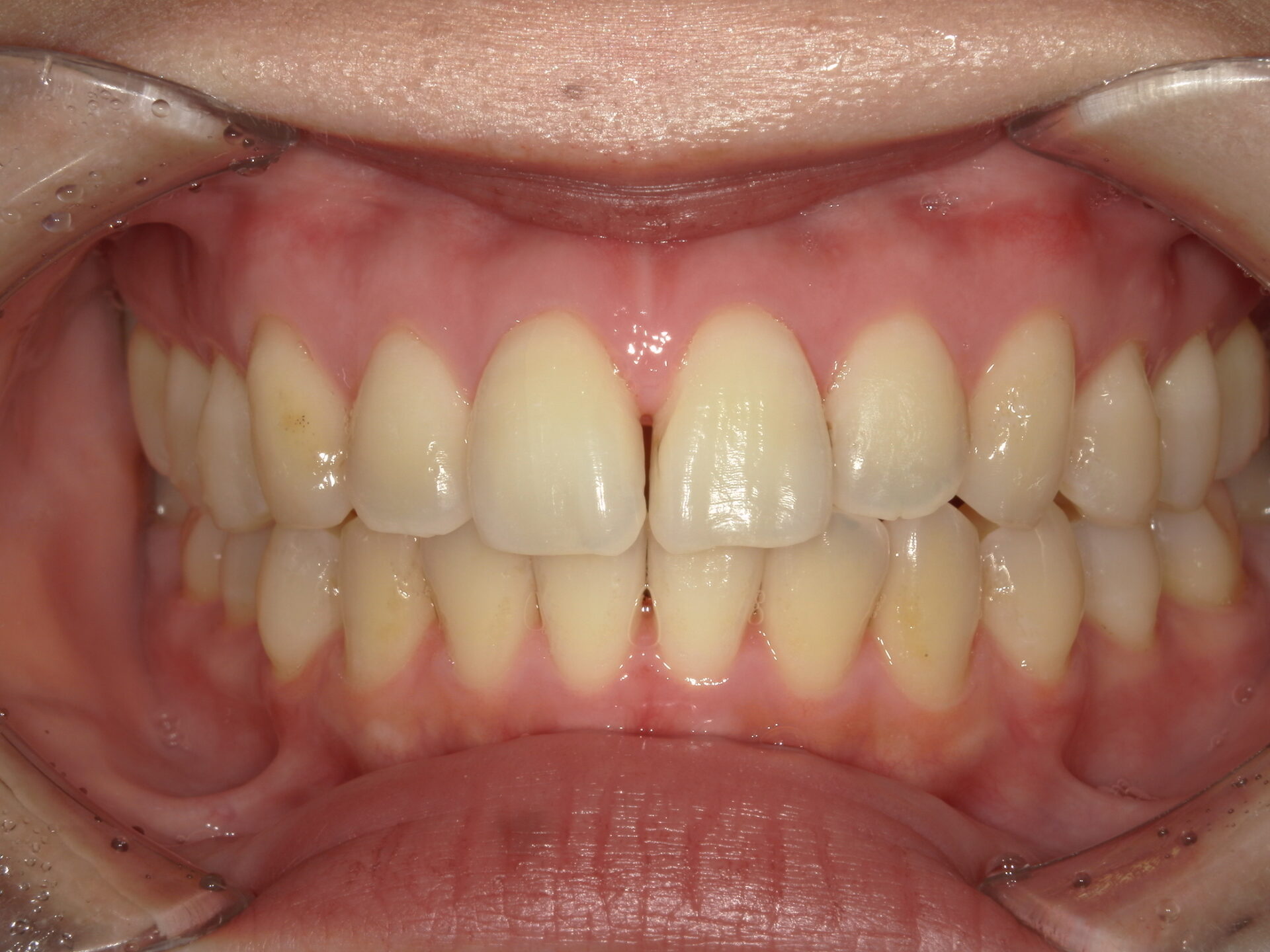
after





患者さんの年齢 30代 男性 症状 ガタガタを治したい 治療内容 ワイヤー矯正治療 費用 88万(税抜) 治療期間・回数 治療期間2年半、通院回数20回 メリット 口元が綺麗 デメリット・リスク 期間がかかることがある 患者さまの声 見た目が良くなった - 矯正治療
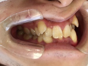
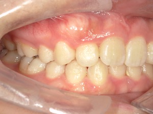
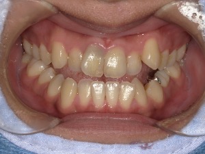
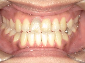
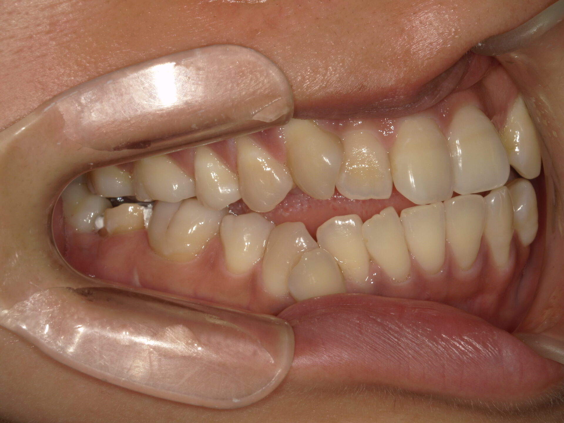
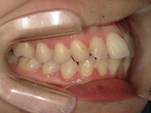
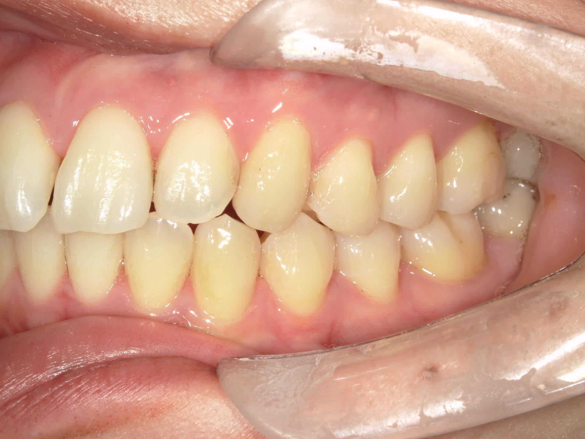
before





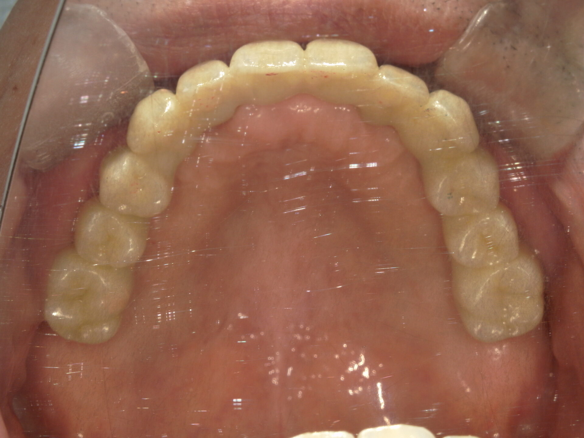
after





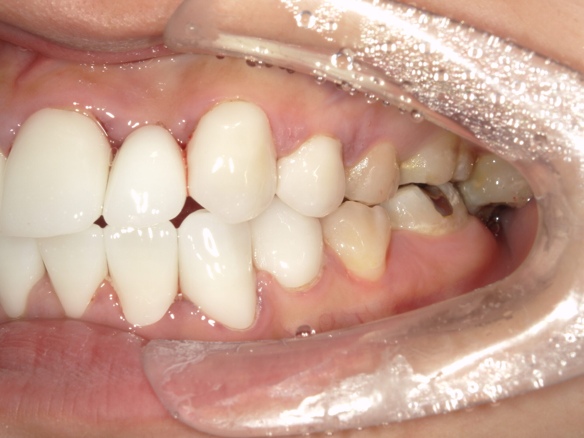
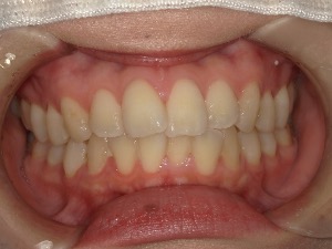
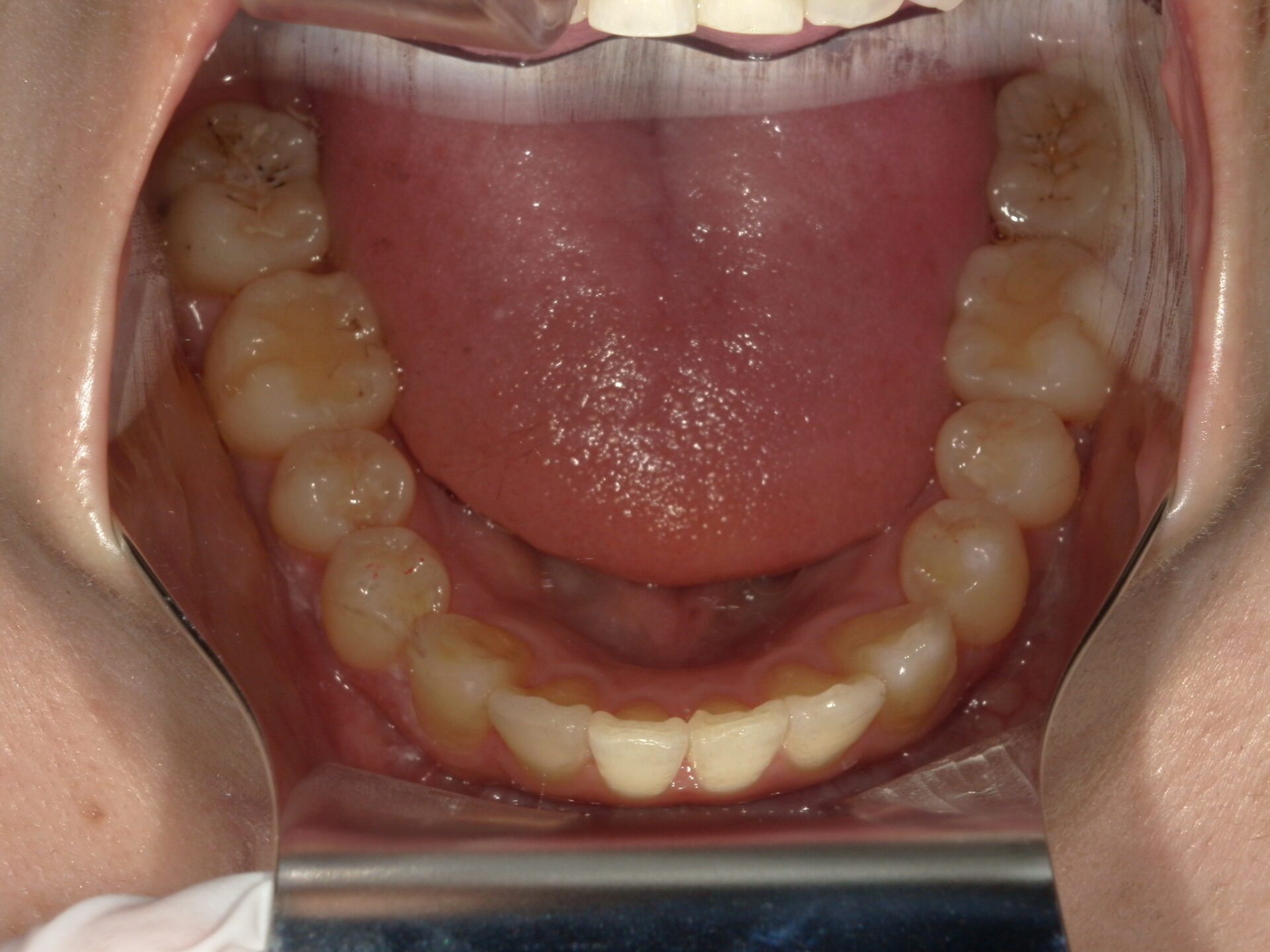
after
患者さんの年齢 20代 女性 症状 ガタガタを治したい 治療内容 マウスピース矯正治療 費用 90万(税抜) 治療期間・回数 治療期間2年、通院回数10回 メリット 笑顔が綺麗 デメリット・リスク 期間がかかることがある - マウスピース矯正
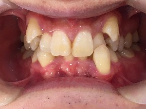
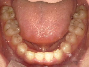
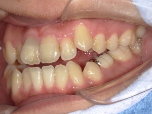
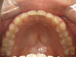
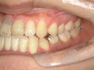
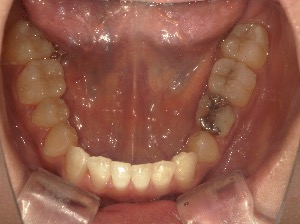
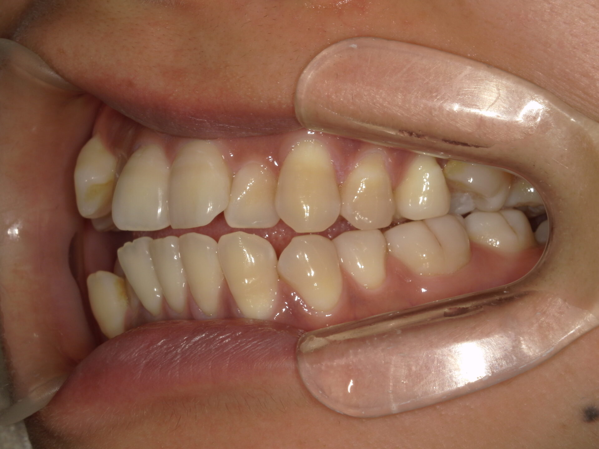
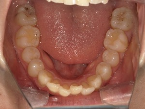
before





after





患者さんの年齢 20代 女性 症状 見た目が良くなりたい 治療内容 マウスピース矯正治療 費用 90万(税抜) 治療期間・回数 治療期間2年半、通院回数20回 メリット スマイルラインが綺麗 デメリット・リスク 期間がかかることがある 患者さまの声 見た目が綺麗になった - マウスピース矯正
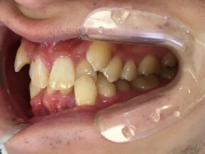
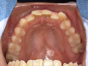
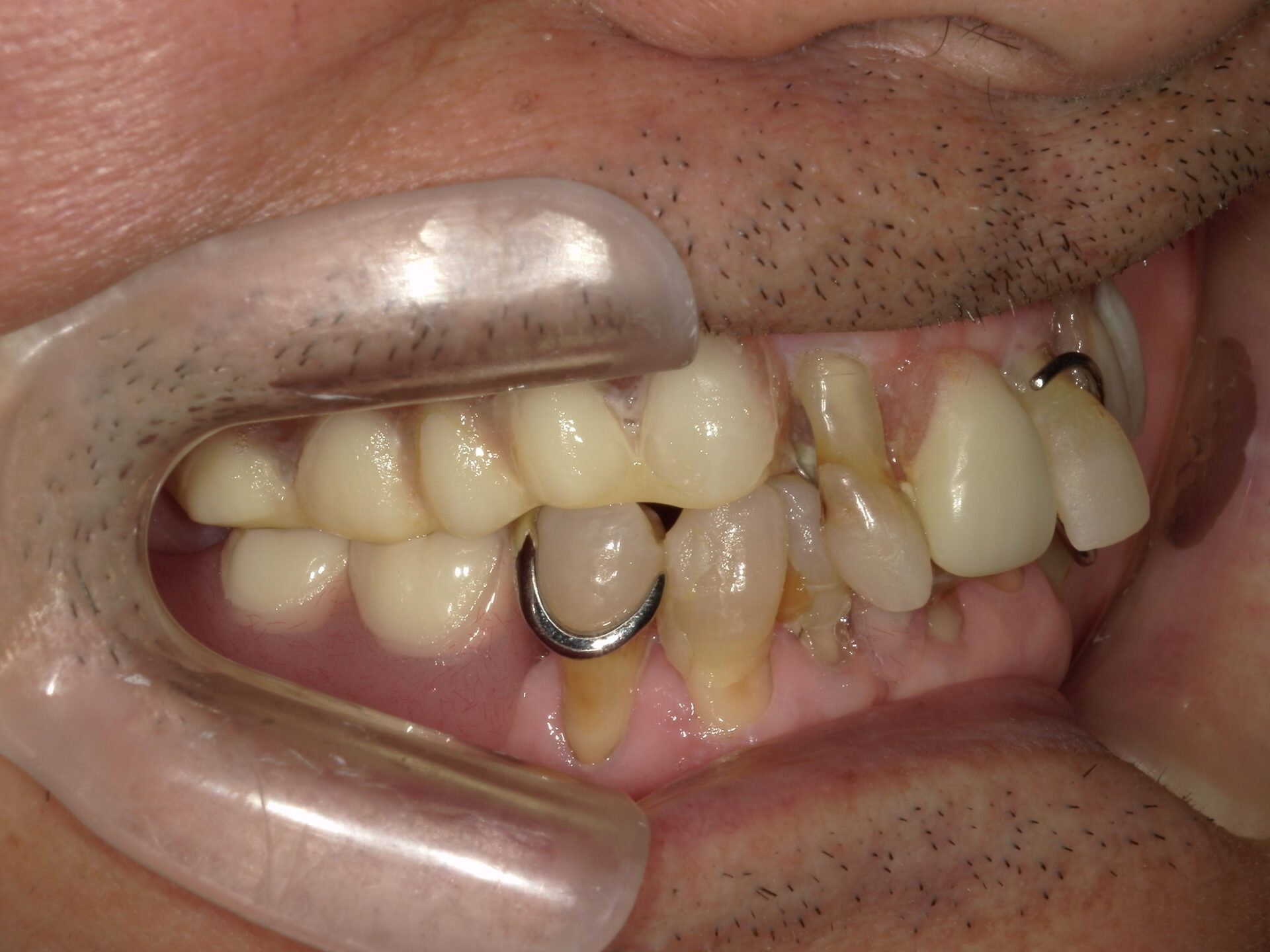
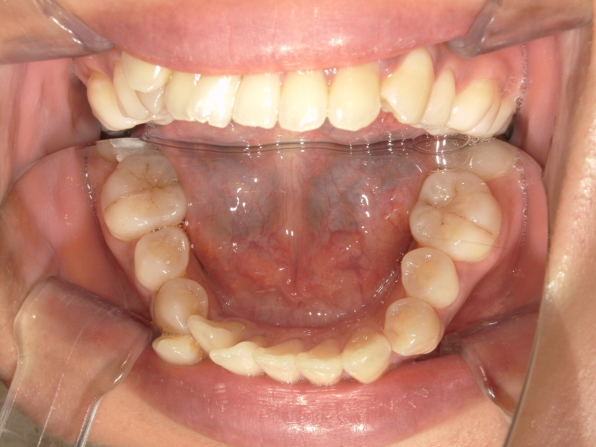
before





after





患者さんの年齢 30代 女性 症状 見た目がコンプレックス 治療内容 マウスピース矯正治療(抜歯あり) 費用 90万(税抜) 治療期間・回数 治療期間2年、通院回数10回 デメリット・リスク 期間がかかることがある 患者さまの声 なんでも噛める。本当に治療して良かった。 - 矯正治療
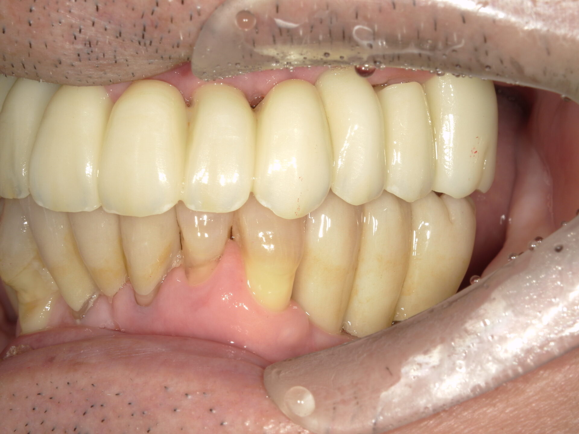
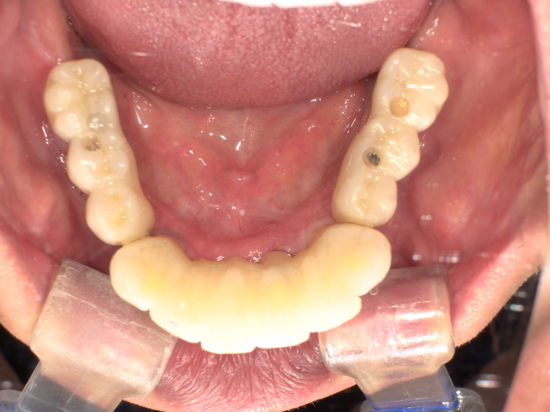
before





after





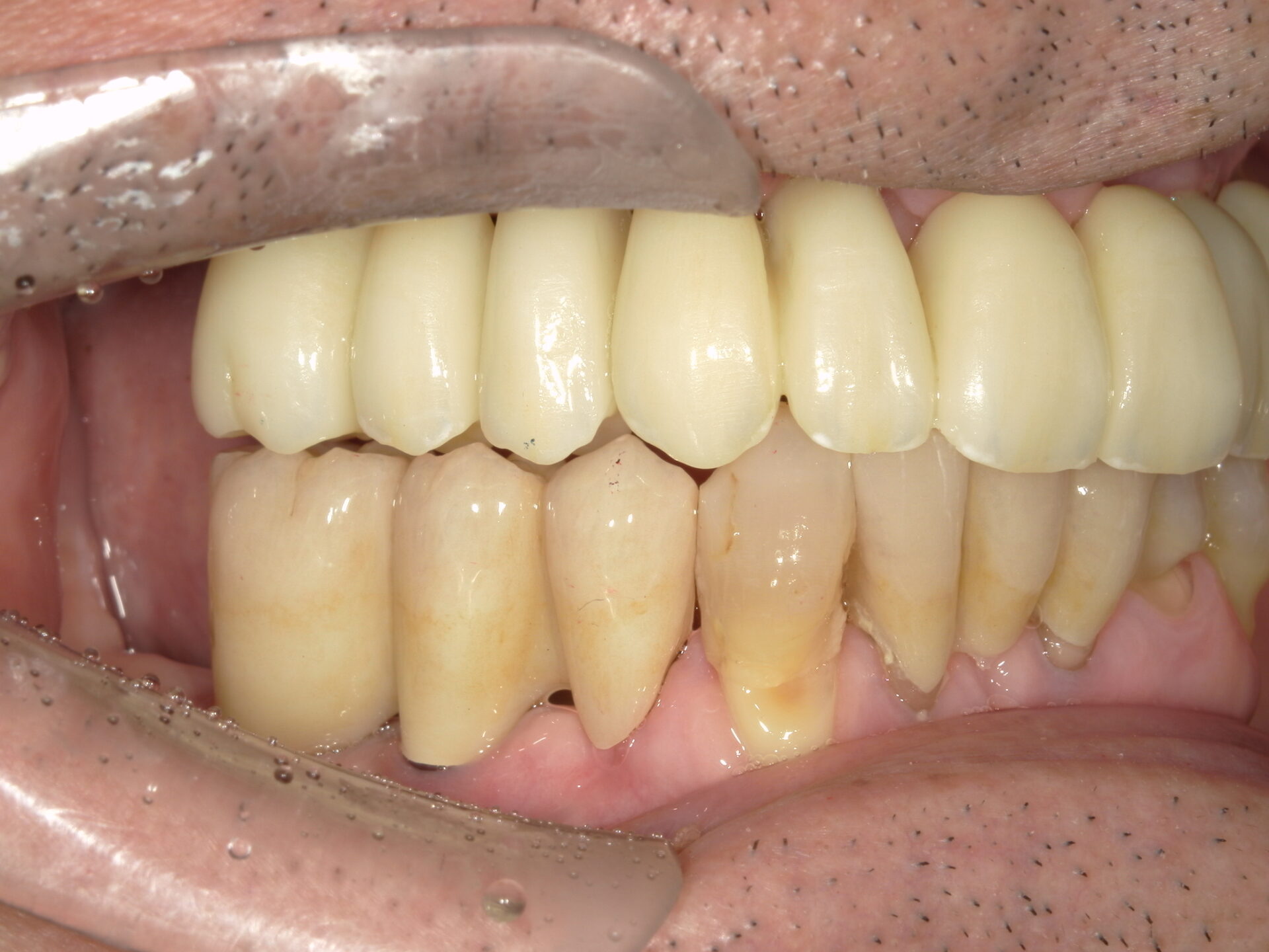
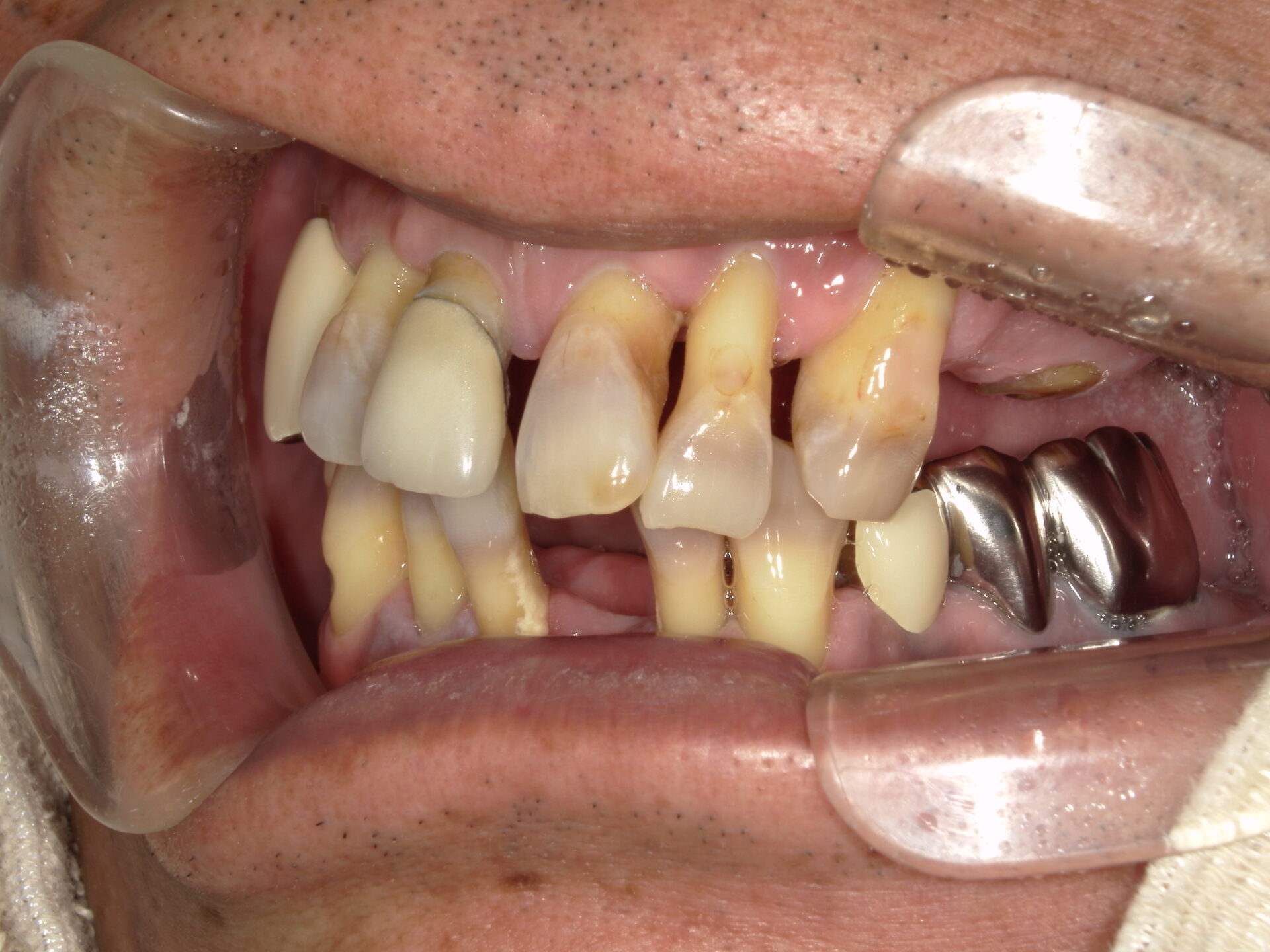
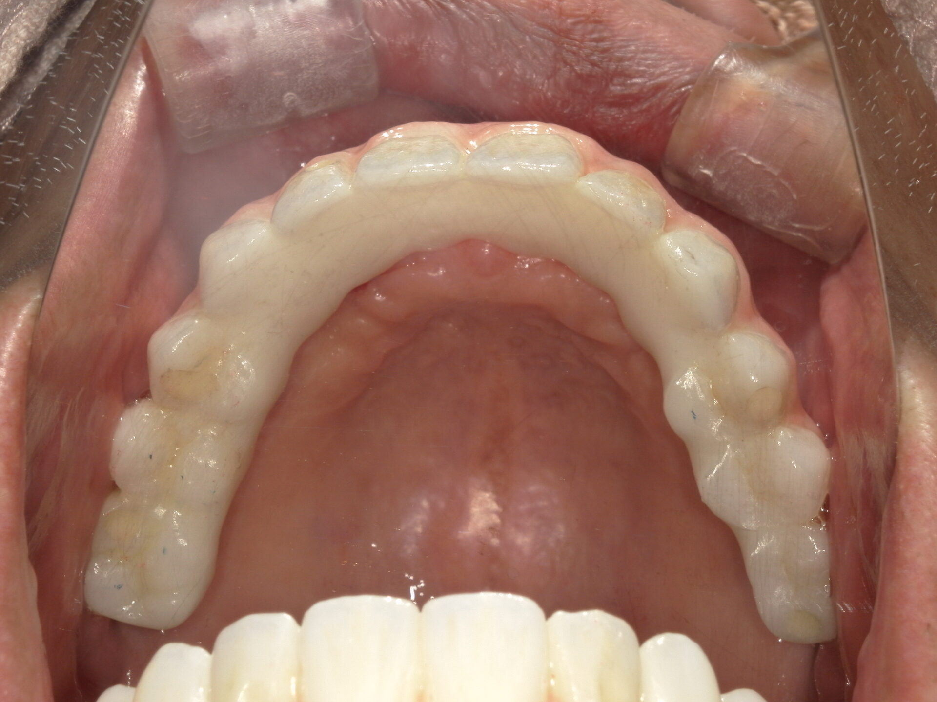
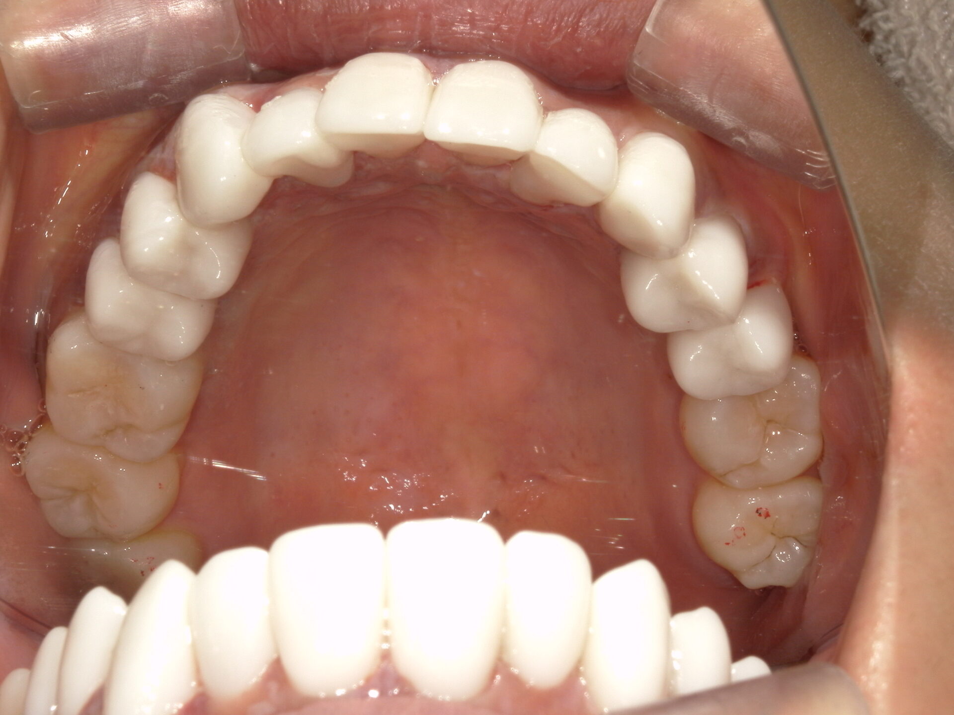
患者さんの年齢 60代 男性 症状 しっかり噛めるようになりたい 治療内容 インプラント治療(オールオン4) 費用 640万(税抜) 治療期間・回数 治療期間1年半、通院回数12回 デメリット・リスク 骨造成などで費用が増える場合がある 患者さまの声 なんでも噛める。治療して良かった。 - インプラント治療
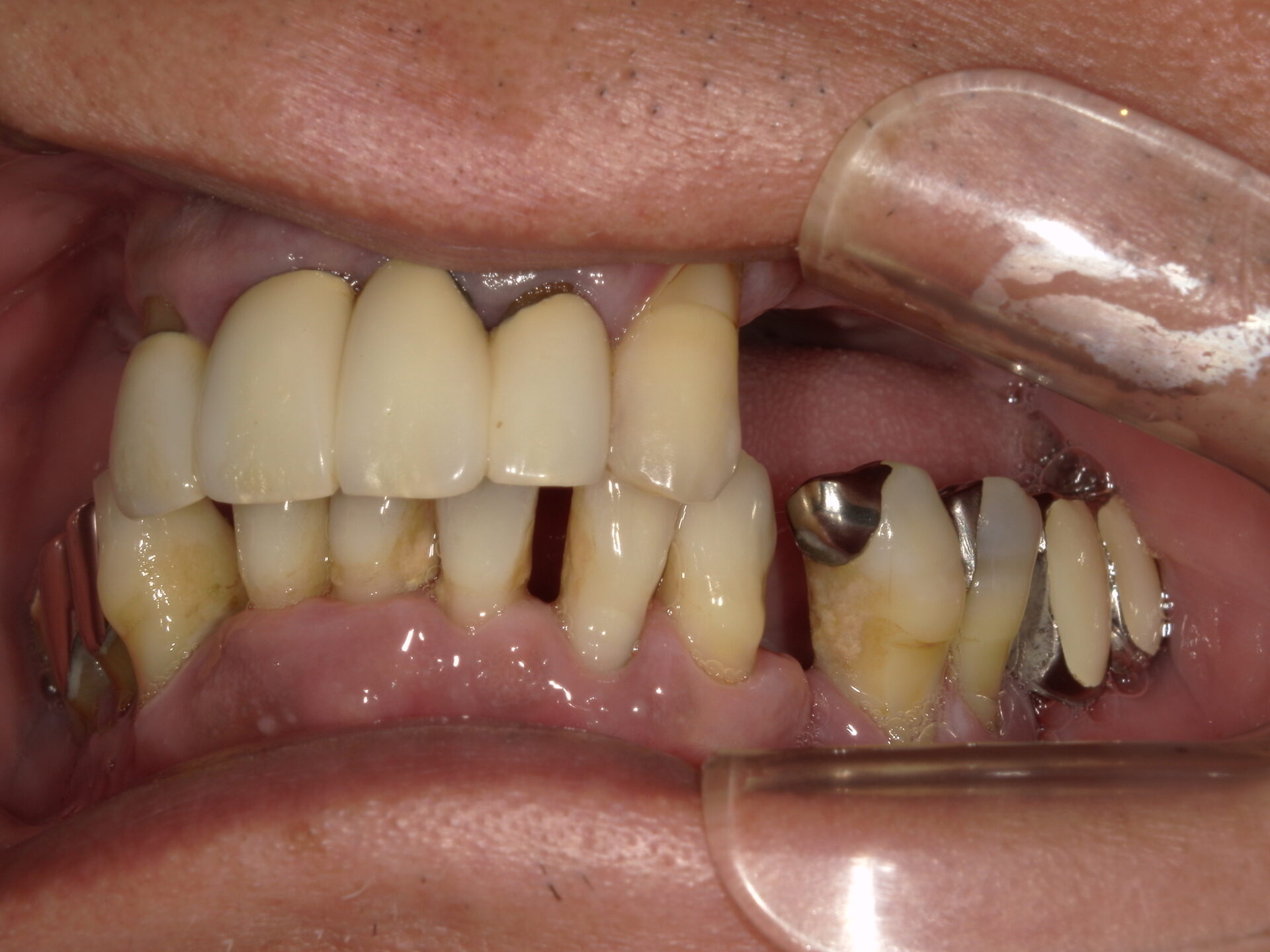
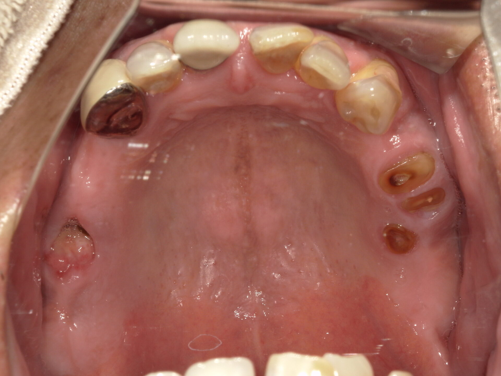
before





after





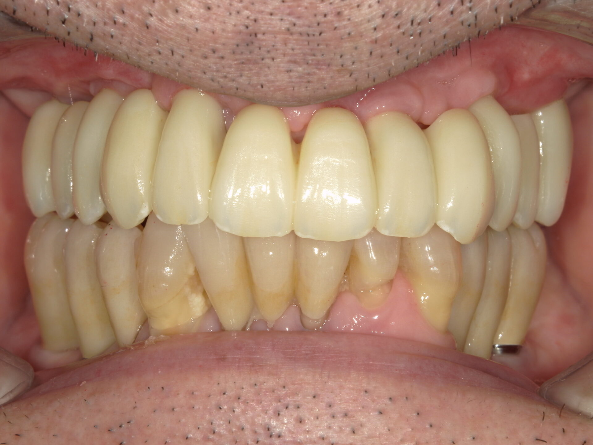
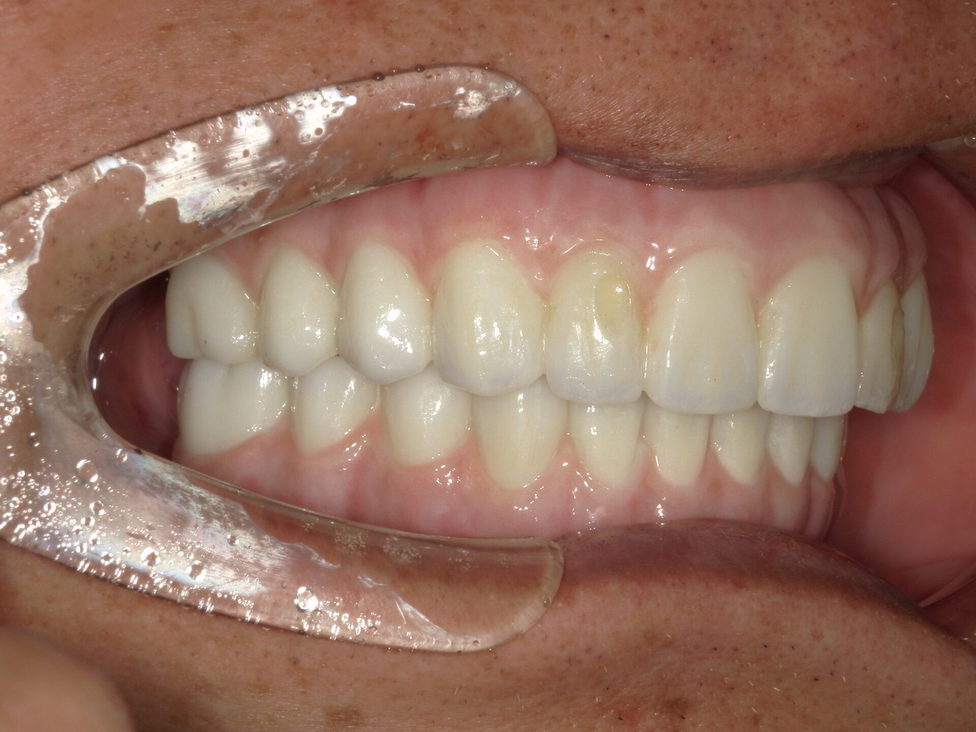
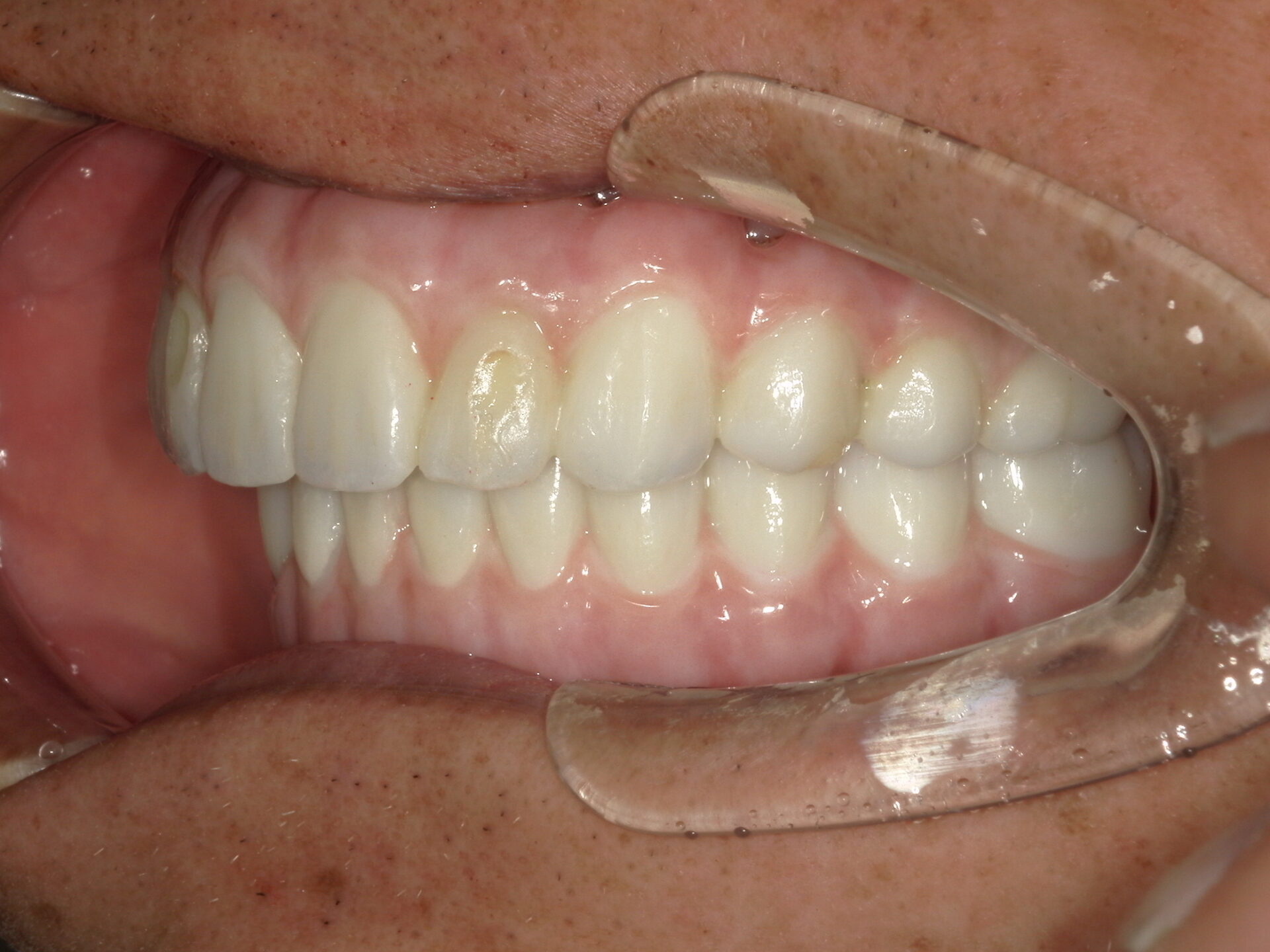
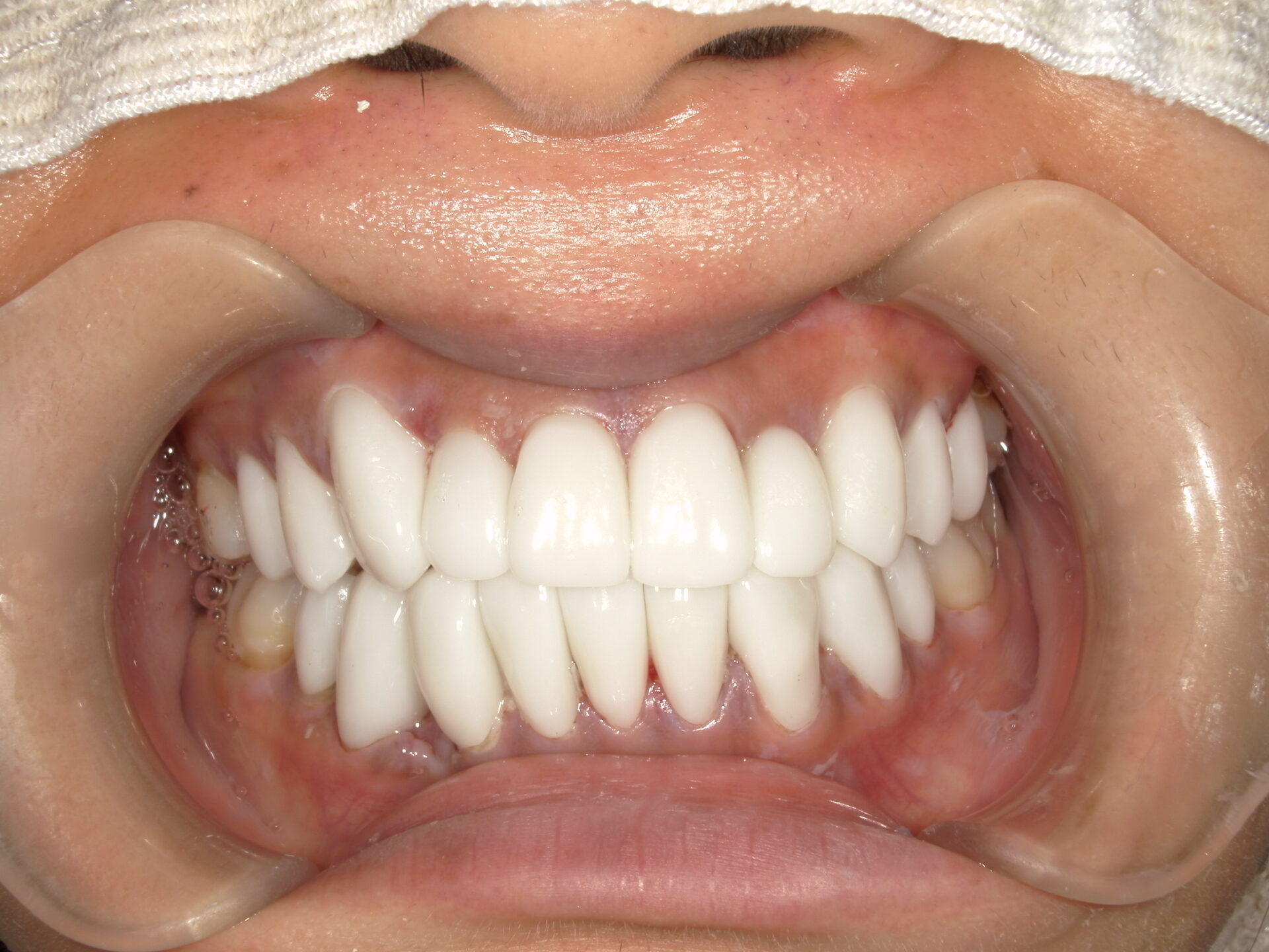
患者さんの年齢 60代 男性 症状 白い歯を入れて噛めるようにしてほしい 治療内容 インプラント治療(オールオン4) 費用 費用900万(税抜) 治療期間・回数 治療期間2年・通院回数12回 メリット なんでも噛める 見た目が綺麗になった デメリット・リスク 骨造成などで費用が増える場合がある - インプラント治療
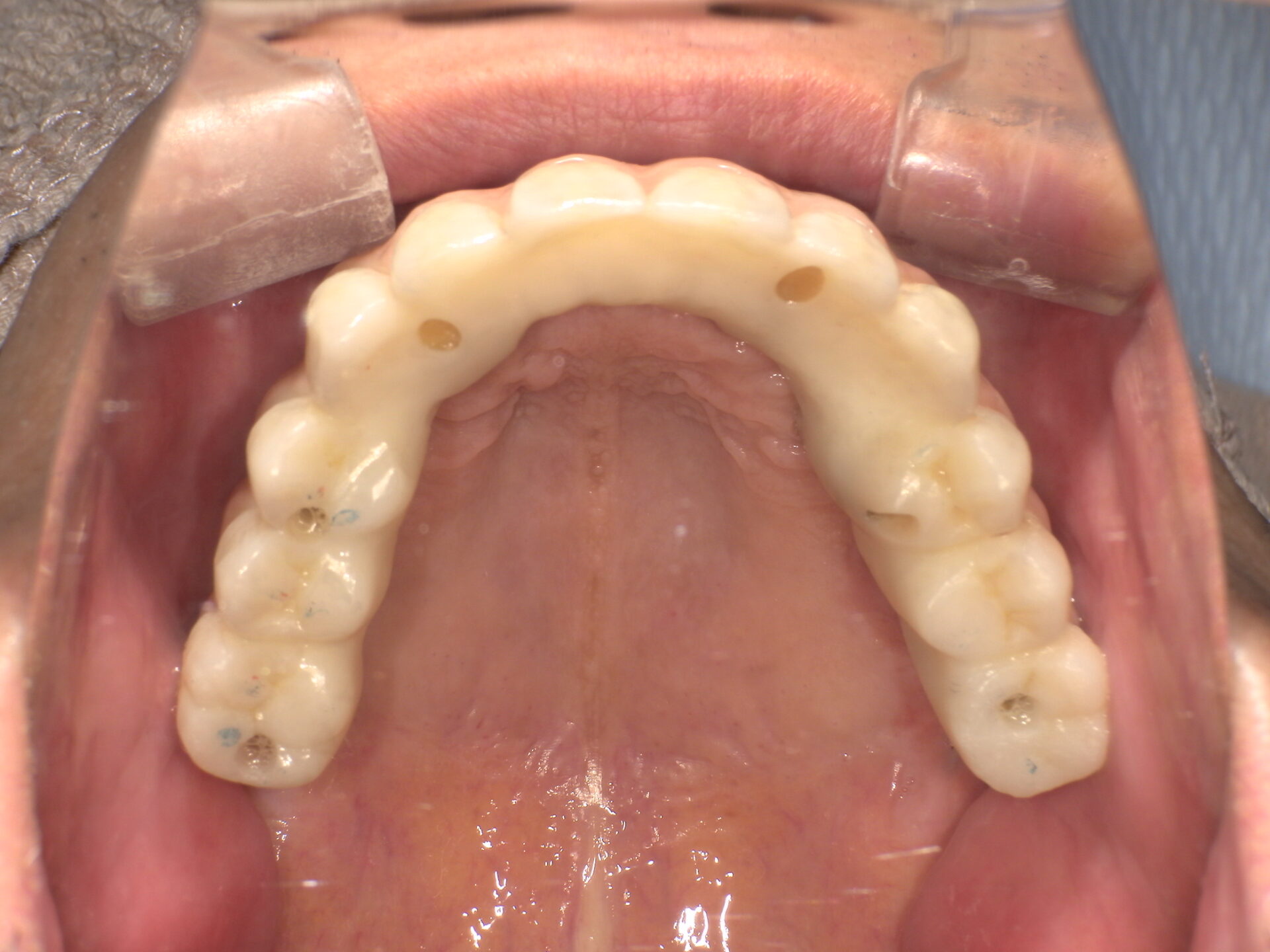
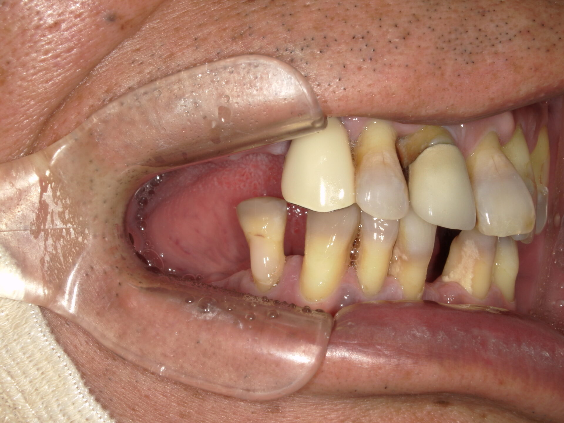
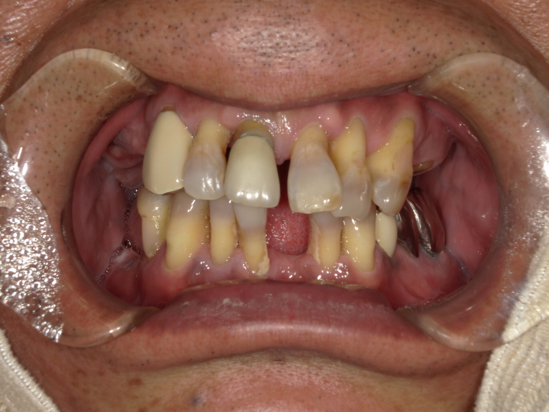
before





after





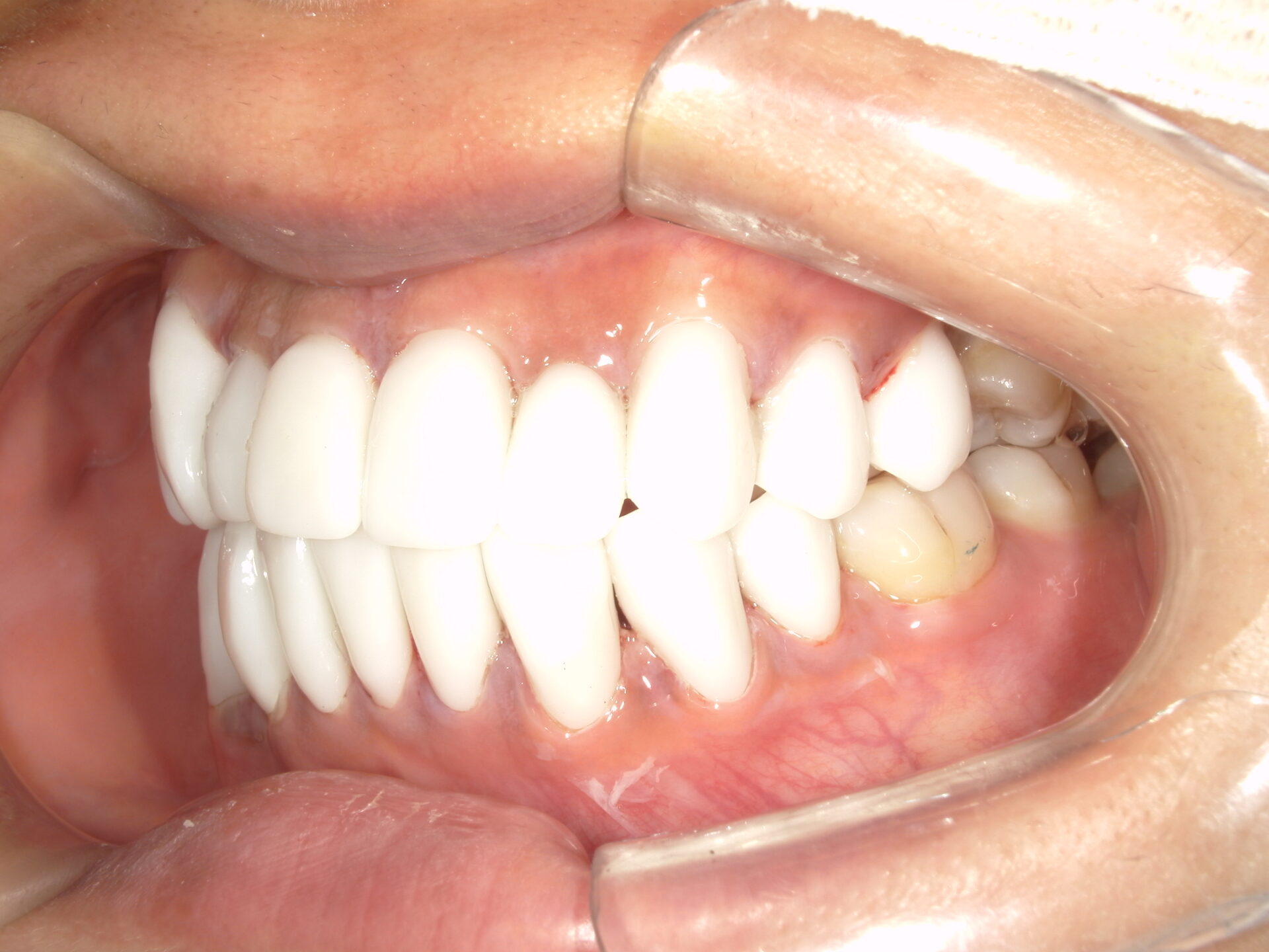
患者さんの年齢 50代 男性 症状 何も噛めない 治療内容 インプラント治療(オールオン4) 費用 費用900万(税抜) 治療期間・回数 治療期間2年・通院回数12回 メリット なんでも噛めるようになる 見た目が綺麗 デメリット・リスク 骨造成などで費用が増える場合がある - インプラント治療
before





after




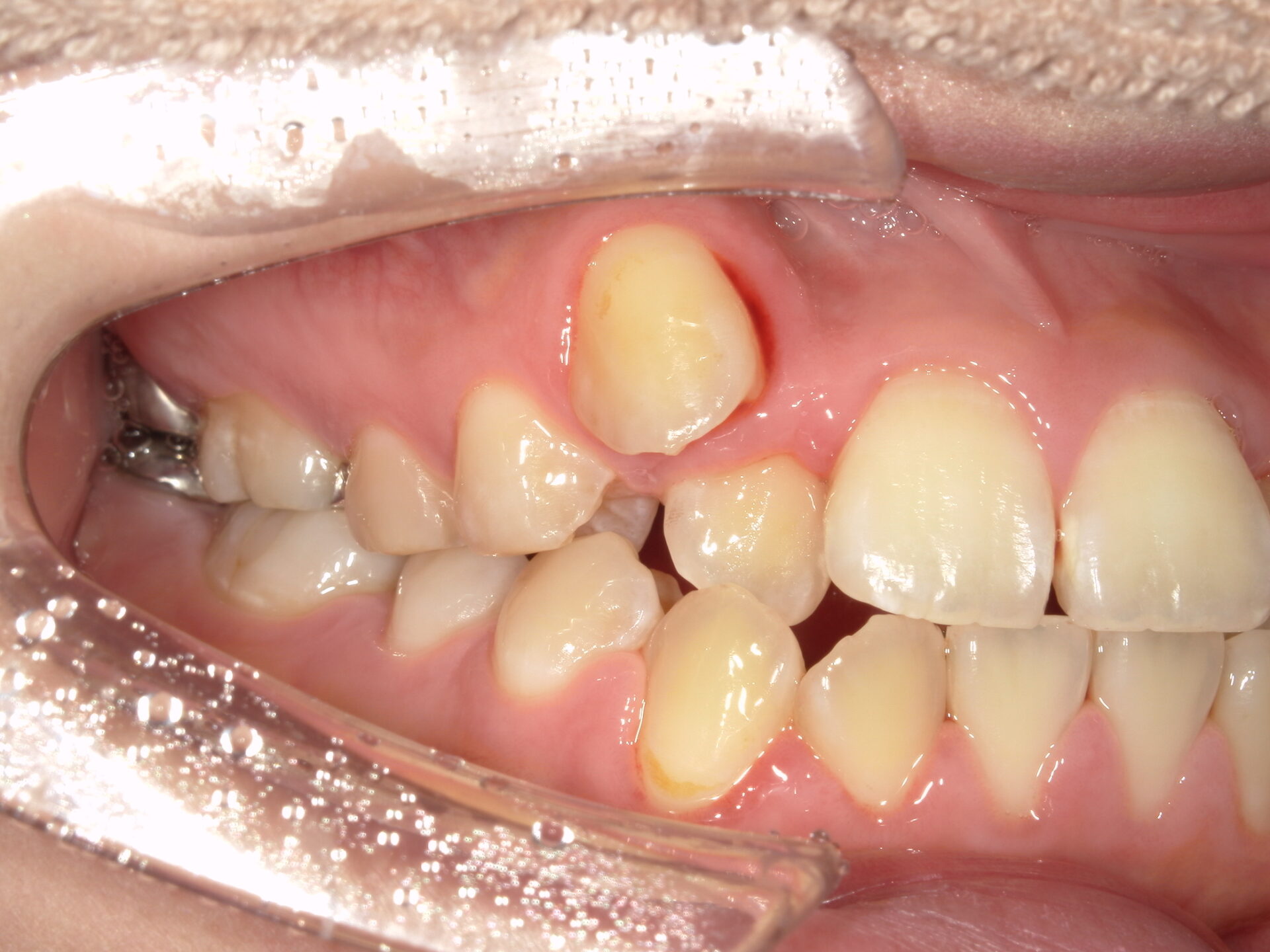
患者さんの年齢 20代 女性 症状 自分の歯が嫌い 治療内容 セラミック治療 費用 費用200万(税抜) 治療期間・回数 治療期間1ヶ月・通院回数3回 メリット 治療期間・回数が少ない デメリット・リスク 術後知覚過敏が起こる事ある - セラミック治療



↓ ↓ ↓ 


患者さんの年齢 20代 女性 症状 八重歯がコンプレックス、白い歯を入れたい 治療内容 セラミック治療 費用 費用150万(税抜) 治療期間・回数 治療期間1ヶ月・通院回数3回 メリット 治療期間・回数が少ない デメリット・リスク 術後知覚過敏が起こる事ある - セラミック治療
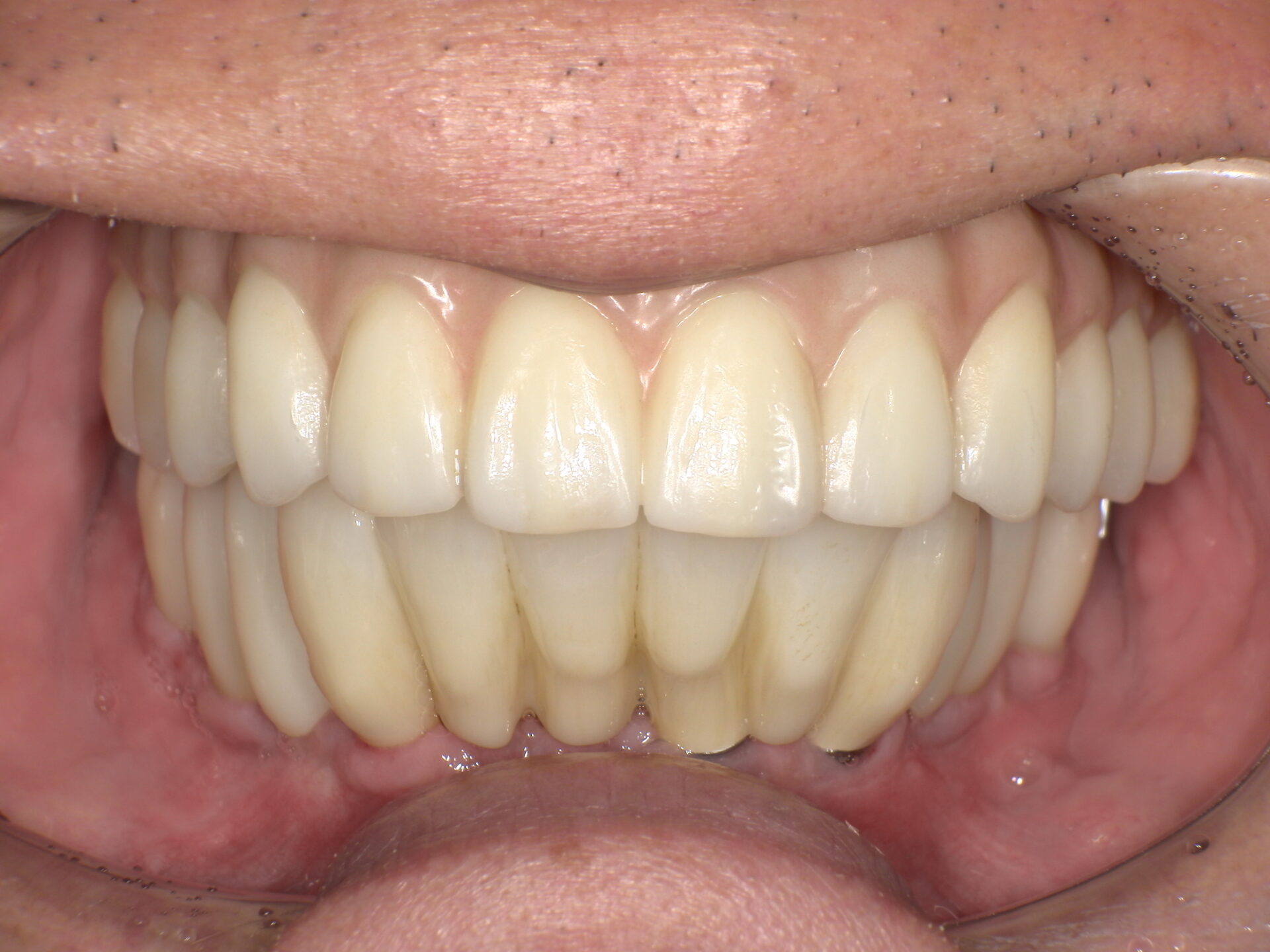
before





after





患者さんの年齢 20代 女性 症状 前歯が出ている 治療内容 マウスピース矯正治療(抜歯なし) 費用 費用79万(税抜) 治療期間・回数 治療期間1年・治療回数年4回 メリット 治療・通院回数が少ない デメリット・リスク 期間がかかることがある - 矯正治療
LINEで簡単予約24時間受付
初診の方
電話ですぐ予約・相談する
06-6711-4138ヨイミバエ
| 診療時間 | 月 | 火 | 水 | 木 | 金 | 土 | 日 | 祝 |
|---|---|---|---|---|---|---|---|---|
| 9:00~13:00 | ● | ● | / | ● | ● | ● | / | / |
| 14:00〜19:00 | ● | ● | / | ● | ● | ● | / | / |
休診日:水曜・日曜・祝日

